デジタルレントゲン

高解像と安全性の両立

デジタルレントゲンのメリット

デジタルレントゲンのメリットはたくさんあります。撮影時間が短いために、被曝線量(患者さんが受けるX線量)が減らすことが出来結果的に体に優しいということです。また現像する作業が必要ないため撮影後短時間で見ることが出来るために時間を節約出来るため待ち時間の短縮につながります。さらに大きな画面で確認でき、正確な診断につながります。

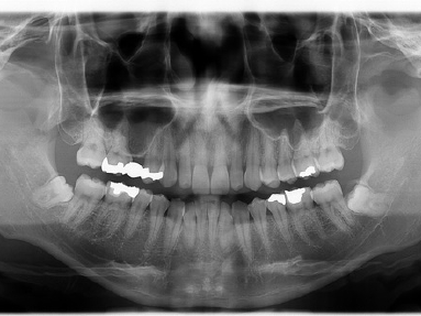
パノラマ写真(写真上)は一般的には全体像を見るのに適したレントゲンですが低解像度なために正確な診断のために追加撮影が必要でしたが、デジタル化によって高解像度化されているためそれだけで必要な情報を得ることができるようになりました。

個々の歯を診るのはセンサータイプのレントゲン↑ですが、IPタイプのレントゲンと比較して高解像度のためかなりはっきりと画像が瞬時に見ることができ、正確な判断と待ち時間の短縮、被曝線量の低減を可能にしています。

断層撮影

パノラマ撮影だけでなく顎の骨の厚みや形態、根の3次元的な形態を知りたいときは、断層撮影も可能です。これは平面的な像より多くの情報が獲得できます。

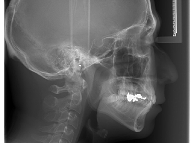
セファログラム(写真上 側貌レントゲン)

横から撮ったレントゲン写真をセファログラムといいますが、これは主に矯正治療に使用して、顎の発育の成長や骨と皮膚との関係を診査するために撮影しますが、骨が高解像度で表示されるのはもとより、皮膚などの軟組織もはっきりと見ることができます。

矯正治療において不正咬合の原因を検討するのがとても大事なのです。歯の位置や傾きなど純粋に歯に問題があるケースか、顎の発育や大きさに問題があるかによって、治療のアプローチや後戻りの程度が大きく異なります。ですから治療を始める前、治療途中でもこれを確認しなががら経過をみることが必要になります。この時セファログラムはとても強い武器になります。

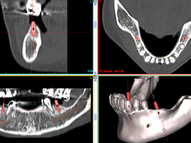
CT撮影

インプラントの安全なオペにはCT撮影が必要です。神経や骨などを三次元的に把握することができるからです。当クリニックでは可能なかぎり立体的な分析が必要なケースではCT撮影をするようにしております。(撮影はESTクリニックに依頼)

OP300

歯科用CTと言われている3Dレントゲン撮影機能を搭載したパノーラ19を使用しておりましたがこのほどOP300を新しく導入いたしました.これによりいままで病院に外注していた多数歯の症例も撮影可能になり解像度も飛躍的に向上しました.また3Dの画像も飛躍的に向上したため 患者さんによりわかりやすく説明することができます.